Ecografie Ostetriche

ECOGRAFIA DELLA CRESCITA

E` una ecografia condotta principalmente per via addominale.

Che cos'è ?

E` una ecografia condotta principalmente per via addominale sempre utilizzando del gel. Viene eseguita fra la 28 e la 33 settimana di gestazione.

A cosa serve?

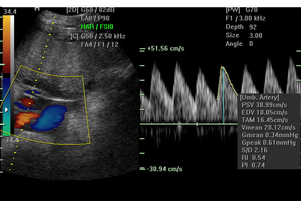
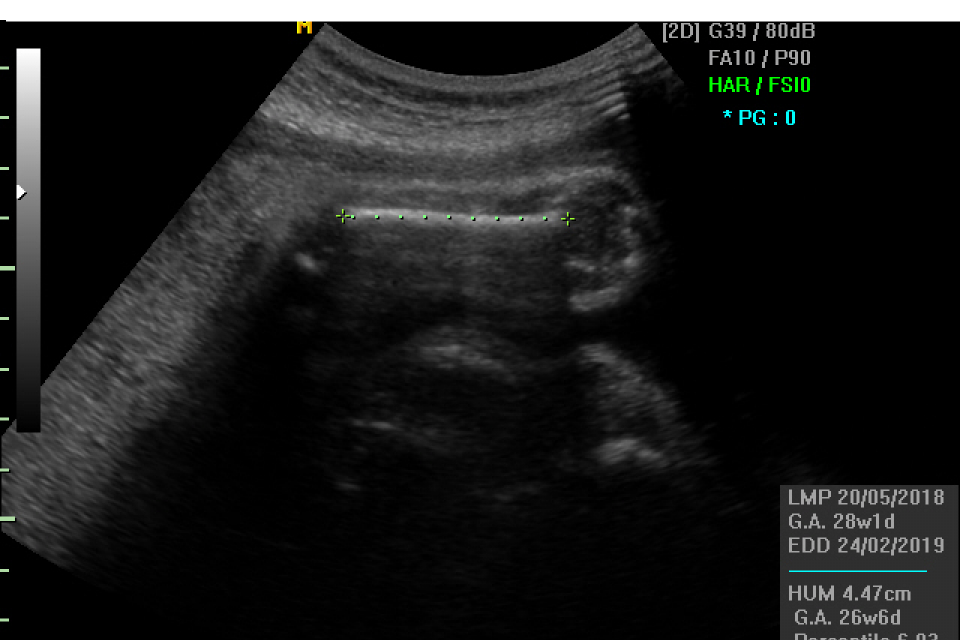
E` una ecografia che valuta principalmente la crescita del bambino, lo stato della placenta, la quantita` di liquido amniotico. Nel corso dell`esame vengono misurati la circonferenza cranica, la circonferenza addominale, il diametro della testa e la lunghezza del femore per poter stimare il peso fetale. Si controlla anche lo stato di benessere degli organi fetale per valutare che la loro formazione segua un decorso regolare rispetto al controllo effettuato durante l`ecografia morfologica. Vengono anche rilevati i movimenti del bambino sia respiratori che del corpo, che insieme alla valutazione del liquido amniotico costituiscono il profilo biofisico fetale, espressione dello stato di benessere del bambino.

Richiesta Informazioni e Prenotazioni

Il Dr. Siliotti, specialista in diagnostica ecografica è a disposizione per rispondere alle vostre domande su: Ecografie Ostetriche e Ginecologiche.

Lo studio medico del Dr. Siliotti si trova a Padova, in Via Stefano Badoer 7. E' possibile fissare un una visita o ecografia, telefonando o inviando un email attraverso il Form di richiesta. 

Prenota un esame
Invia una Richiesta

ECOGRAFIE OSTETRICHE

Gli Esami disponibili:

ECOGRAFIA PREMORFOLOGICA

Si tratta di una ecografia eseguita alla 16° settimana, in grado di rilevare molte malformazioni fetali e di valutare il liquido amniotico e la placenta...

ECOGRAFIA MORFOLOGICA

E' una ecografia che viene effettuata fra la 18° e la 22° settimana di gravidanza allo scopo principale di valutare l'anatomia fetale per evidenziare le principali anomalie congenite...

ECOGRAFIA DELLA CRESCITA

E` una ecografia condotta principalmente per via addominale sempre utilizzando del gel. Viene eseguita fra la 28° e la 33° settimana di gestazione...

ECOGRAFIA OSTETRICA TRI-QUADRIMENSIONALE

Per la paziente è come una normale ecografia tuttavia raccoglie informazioni che con l'ausilio di un algoritmo contenuto dentro all'ecografo ricostruisce l'immagine del feto in tridimensionale...

ECOGRAFIA QUICKSCAN

Si tratta di ecografia breve fatta allo scopo di valutare la vitalita` del feto o dell`embrione in qualsiasi fase della gravidanza nel caso in cui la paziente abbia dolori o voglia controllare ...

TEST DEL DNA: PRENATAL SAFE

Si tratta di un prelievo di sangue eseguito sulla gestante, quindi non invasivo. Attraverso questo esame è possibile ottenere diversi livelli di indagine cromosomica dall’analisi del numero dei cromosomi alla identificazione di anomalie strutturali degli stessi.

ECOGRAFIE GINECOLOGICHE

Gli Esami disponibili:

ECOGRAFIA GINECOLOGICA

E' una indagine non invasiva che serve per studiare gli organi riproduttivi interni attraverso l'analisi di immagini create dagli ultrasuoni.

ECOGRAFIA TRI-QUADRIMENSIONALE

L'introduzione della tecnologia tri e quadimensionale ha consentito di visualizzare meglio le strutture pelviche. In particolare si può analizzare...

ECOGRAFIA RIPRODUTTIVA

Si tratta sempre di una ecografia ginecologica, mirata ad ottenere informazioni sullo stato della fertilita` della paziente...

Con il Dr. Federico Siliotti puoi effettuare la tua ecografia già dalle 7:00 del mattino, per venire incontro alle tue esigenze di tempo.

Studio Medico
Dr.Federico Siliotti

Ecografie
Ostetriche e
Ginecologiche
a Padova

Indirizzo

Via S. Badoer 7
35124 Padova

Contatti


Mappa